The Truth About Teeth Whitening: Why Expert Care Matters More Than Social Media Trends in 2026
In today’s digital age, beauty trends spread faster than ever. From skincare routines to fitness hacks, social media platforms are filled with “quick fixes” promising instant results. Among these, teeth whitening has become one of the most viral trends, offering the dream of a brighter smile using simple, inexpensive methods at home.
From charcoal powders and lemon-based mixtures to over-the-counter whitening kits, these trends may seem attractive and convenient. However, what is often missing is scientific accuracy, professional guidance, and awareness of potential risks.

“As a dental professional, I frequently see patients who have unknowingly harmed their teeth while trying these trending methods,” says Buzz Expert Dr. Nikita Agarwal.
Enamel damage, increased sensitivity, and gum irritation are becoming increasingly common. This raises an important concern; while the desire for a brighter smile is valid, the method you choose matters even more.

The Growing Importance of a Bright Smile
A white, confident smile is more than just a cosmetic feature, it is a reflection of self-confidence, personality, and overall well-being. For young professionals and socially active individuals, appearance plays a significant role in both personal and professional interactions.
A brighter smile can enhance confidence, improve communication, and leave a lasting impression. It is no surprise that more people today are actively seeking teeth whitening solutions.
However, achieving that smile should never come at the cost of long-term oral health.
The Reality Behind Social Media Trends
Social media often promotes whitening methods that appear simple and effective, but lack proper scientific validation. Common trends include:
- Charcoal-based whitening
- Lemon juice or acidic mixtures
- Excessive use of whitening strips
- DIY remedies without supervision
While these may show temporary results, they can cause irreversible damage. Abrasive substances can wear down enamel, while acidic ingredients can weaken tooth structure and irritate the gums.
Unlike professional treatments, these methods are not personalized. They do not consider individual dental conditions such as sensitivity, cavities, or gum health, making them risky for long-term use.
Professional Teeth Whitening: A Safer Approach
Professional teeth whitening is a carefully controlled procedure performed under the supervision of a qualified dentist. Before starting treatment, a detailed dental evaluation is conducted to ensure that the teeth and gums are healthy.
This includes checking for:
- Tooth decay
- Gum disease
- Enamel thickness
- Existing restorations
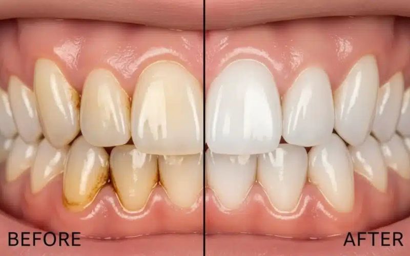
Once suitability is confirmed, safe and clinically approved whitening agents are used to remove deep stains effectively without damaging the teeth.
At advanced dental centers like Studio Dentale, treatments are customized to each patient, ensuring both safety and optimal results.
Zoom Whitening: The Latest Advancement in Smile Brightening
One of the most advanced innovations in modern dentistry is Zoom Whitening, a technology that has redefined professional teeth whitening.
Unlike traditional whitening methods, which may take multiple sessions over weeks, Zoom Whitening offers dramatic results in just a single visit. The procedure uses a specially formulated whitening gel activated by a controlled light system to accelerate the whitening process.
Why Zoom Whitening Stands Out:
- Fast Results: Noticeably whiter teeth in one session
- Safe and Controlled: Performed under professional supervision
- Minimal Sensitivity: Designed to reduce post-treatment discomfort
- Even Whitening: Uniform results across all visible teeth
Compared to traditional tray-based whitening systems commonly used in many clinics, Zoom Whitening is more efficient, predictable, and comfortable for patients with busy lifestyles.

The Risks of Choosing the Wrong Method
While DIY trends may seem appealing, the risks can outweigh the benefits. Improper whitening methods can lead to:
- Permanent enamel damage
- Increased tooth sensitivity
- Uneven or patchy results
- Gum irritation or burns
Correcting these issues often requires more complex and costly dental treatments.
Making the Right Choice
In a world full of online information, it is important to separate trends from truth. Social media can create awareness, but it cannot replace professional expertise.
If you are considering teeth whitening, the safest and most effective approach is to consult a qualified dentist. Professional guidance ensures that your treatment is tailored to your needs, delivering safe and long-lasting results.
The Emotional Impact of a Whiter Smile
Teeth whitening is more than just aesthetics. Many individuals feel self-conscious about stained or discolored teeth, often hiding their smiles in social or professional settings.
After professional whitening, patients frequently experience a transformation that goes beyond appearance. They smile more freely, speak more confidently, and feel more comfortable in their own skin.
A confident smile can influence relationships, career opportunities, and overall quality of life.
Final Thoughts
A bright smile is a powerful asset—but it should never come at the expense of your oral health. While social media trends may offer quick solutions, they often lack the depth, safety, and personalization required for lasting results.
With advanced options like Zoom Whitening available at Studio Dentale, achieving a radiant, healthy smile has never been safer or more effective.
Because your smile deserves more than a trend—it deserves expert care, precision, and trust.
About Author
Dr. Nikita Agarwal is a Prosthodontist and Oral Implantologist based in Nepal, specializing in digital dentistry and advanced implant rehabilitation. She holds an MDS in Prosthodontics and is a Fellow and Master of the International Congress of Oral Implantologists (ICOI).
As the founder of Studio Dentale, she integrates digital technologies such as intraoral scanning, CAD/CAM, and 3D printing into clinical practice. She is also actively involved in academic training and professional education.
Instagram: @dr_nikita.agarwal | @studiodentale_

Also Read
Sindhur Jatra Fest II 2082 to Paint Bhaktapur Beautifully in Its Vermillion Shade.
The Science Behind Yoga: What Actually Happens to Your Body
Lactose-Free and Dairy-Free Foods for a Healthy Lifestyle in 2026
Easter 2026: The Fascinating Story, Egg Hunts & Nepal’s Celebration You Didn’t Expect
A Cosmic Leap for Gaming Fans: The Super Mario Galaxy Movie Hits Theaters on April 1



